Periodontics
-
Single Implants
Dental implants are considered the most advanced and effective solution for replacing missing teeth, closely resembling natural teeth in function and appearance. The implant procedure involves a healing period during which the implant fuses with the bone, ensuring stability before restoration. Once the implant is deemed stable, an abutment and crown can be created to mimic the appearance of a natural tooth at that site. Our dental implants incorporate a special surface technology that allows for faster restoration compared to traditional methods. In most cases, our implants can be restored within 3-4 weeks, whereas other competitors typically require 3-4 months for the same process. It's important to note that each patient is unique, and the timeline for implant restoration may vary depending on the individual's biological factors and specific case.
-
Implant Bridges
When several teeth are missing while others remain, implant-supported bridges can be considered as a viable option for replacement. To ensure precise insertion and achieve the best esthetic outcome, surgical guides are commonly employed in the planning process. Surgical guides play a crucial role in guiding the implant placement with accuracy. They assist in determining the precise location and angle for the implants, allowing for a customized and well-fitting implant-supported bridge. By using surgical guides, we can ensure that the final result is aesthetically pleasing and aligns seamlessly with the surrounding teeth.
-
Full Arch Rehabilitation
We are delighted to provide comprehensive care for patients requiring full mouth rehabilitation. Each case is unique and treated on an individual basis, taking into account the specific needs and preferences of the patient. There are several common options available for full mouth rehabilitation, including implant-supported dentures or prostheses. Implant-supported dentures or prostheses offer a secure and stable solution for replacing a full set of teeth. They can be designed to be removable only by a dental professional, providing maximum stability and function. Alternatively, there are options that can also be removed by the patient for easier cleaning and maintenance. The choice of the most suitable option will depend on factors such as the patient's oral health, bone structure, personal preferences, and overall treatment goals. Our team will work closely with each patient to determine the most appropriate and effective approach for their full mouth rehabilitation.
-
Bone Grafts
There are various reasons why a patient may require a bone graft procedure. One common scenario is when a tooth is extracted, resulting in the shrinkage of the bone that previously supported the tooth. If this area is left untreated, it may not provide a suitable foundation for an implant. In our office, the standard of care is to perform a bone graft at the time of any extraction to preserve the bone structure. Patients who have already experienced tooth loss may also need to rebuild the affected area to facilitate the placement of an implant or other tooth replacement options. In such cases, a larger volume of bone graft material is necessary, often accompanied by a protective membrane placed on top. The exact healing time required can vary depending on the patient and the specific site being treated. At our office, we source our bone graft material from a reputable bone bank that ensures the bone has been appropriately treated and sterilized for each patient's safety. Whenever possible, we incorporate the patient's own blood to mix the growth factors with the bone graft material, which promotes accelerated healing and enhances the overall results of the procedure.
-
Sinus Lift
When teeth are lost in the upper arch of the jaw, the sinuses, which are air-filled spaces that aid in breathing, can expand and occupy the area where the tooth roots were previously located. This expansion can pose a challenge when considering the placement of dental implants. To address this issue, sinus lifts are often required for implant placement in the upper jaw. The specific approach for sinus lifts depends on the amount of remaining bone. In some cases, an internal lift can be performed along with the simultaneous placement of the implant. This involves lifting the sinus membrane and adding bone graft material to create a stable foundation for the implant. Alternatively, a lateral window approach may be employed, where a window is created in the side of the sinus, allowing for the elevation of the sinus membrane and subsequent placement of bone graft material. In this scenario, the implant placement is delayed until the sinus and bone have healed. Your doctor will carefully assess your situation and determine which approach is best suited for you based on the amount of remaining bone and the overall condition of your sinuses. They will review the options with you, explaining the rationale behind their recommendation and ensuring you receive the most appropriate treatment plan.
-
Chao Pinhole Gum Rejuvination
Dr. Izquierdo specializes in the Chao PinHole Surgical Technique, a minimally invasive approach to address receding gums. Unlike traditional gum surgery, this technique eliminates the need for cutting open the gums or harvesting tissue from the roof of the mouth. During the procedure, a small pinhole is created in the gum tissue near the affected area. Through this pinhole, special instruments are used to gently reposition the gum tissue, covering the exposed root surfaces and addressing gum recession. The technique allows for immediate results, and patients typically experience minimal downtime and discomfort. By utilizing the Chao PinHole Surgical Technique, Dr. Izquierdo provides a less invasive and more comfortable alternative for treating receding gums, while achieving effective and aesthetically pleasing results for patients.
-
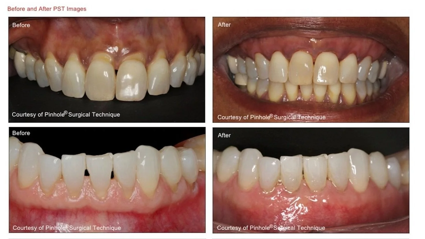
Before and After Chao Pinhole Gum Rejuvination
Gum recession is a common condition that affects a significant portion of the population. However, many individuals are unaware of their gum recession until they experience symptoms such as tooth sensitivity to cold or notice the exposed roots of their teeth. The Chao PinHole Surgical Technique, which Dr. Izquierdo specializes in, has a proven track record of over 20 years in delivering sustainable results. This technique has been utilized successfully to address gum recession and its associated symptoms. By repositioning the gum tissue without the need for extensive surgery, patients can find relief from sensitivity and achieve a more aesthetically pleasing smile. It is important for individuals who suspect they may have gum recession or experience related symptoms to consult with a dental professional. Through proper diagnosis and treatment, issues associated with gum recession can be addressed, improving oral health and enhancing overall well-being.
-
LPRF/Blood Draw
L-PRF therapy is a technique that concentrates platelets, growth factors, leukocytes, and proteins into a flexible biological matrix to facilitate the healing of both soft and hard tissues in the oral cavity. It is particularly beneficial in procedures such as socket preservation, which reduces bone loss after tooth extraction, and tissue regeneration following bone grafts for dental implants. L-PRF can also rejuvenate dental pulp, potentially eliminating the need for root canal therapy or tooth extraction. During the L-PRF procedure, a small amount of the patient's own blood is drawn and spun in a centrifuge to isolate plasma and platelets. These concentrated growth factors and proteins are then reintroduced at the treatment site to accelerate healing and stimulate natural collagen production.